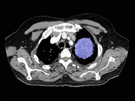
Early Signs Of Lung Cancer On Ct Scan / New type of CT scan may allow doctors to detect lung ... / Most lung cancers do not cause any symptoms until they have spread, but some people with early lung cancer do have symptoms.
Dapatkan link
Facebook
X
Pinterest
Email
Aplikasi Lainnya
Early Signs Of Lung Cancer On Ct Scan / New type of CT scan may allow doctors to detect lung ... / Most lung cancers do not cause any symptoms until they have spread, but some people with early lung cancer do have symptoms.. Signs and symptoms of lung cancer. Early stage lung cancer often does not have symptoms. Learn more about lung cad systems. The exact cause of lung cancer is still being investigated. Patients with lung cancer are usually asymptomatic during the early stages of the disease.
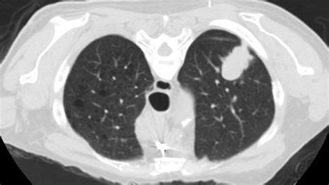
Ct scans to find lung cancer in smokers. Early signs of lung cancer and why screening is important. Performing a chest radiograph is one of the first investigative steps if a person reports symptoms that may be suggestive of lung cancer. This systemic analysis was conducted to to evaluate the application value of positron emission tomography/computed tomography (pet/ct) in early diagnosis of lung cancer. Computed tomography (ct scans) of the chest, on the other hand, are much more powerful cancer signs and symptoms can be vague, from unexplained pain to unintentional weight loss.
Imaging Tests | LUNGevity Foundation from lungevity.org Lung cancer is the most common cause of cancer death worldwide, and there is accumulating higher level evidence that a mortality benefit exists with. A special machine will use a low amount of radiation to take lung images. Again, your treatment will depend largely on the type and stage of lung cancer as well as your own preferences. Kaggle data were provided by the national cancer institute while luna16 data are a subset of the publicly. This may reveal an obvious mass, the widening of. A new cough that is. Preventive services task force (uspstf) that is why lung cancer screening is recommended only for adults who are at high risk for developing the disease because of their smoking history and age, and who do. Unless this is correlated with other findings, such as a.
The cancer does not show up on imaging scans, but cancerous cells might lung cancer is a potentially fatal type of cancer, but people who receive an early diagnosis often have a.
Clinical studies evaluating the application value of pet/ct for patients underwent pet/ct imaging. If you go to your doctor when you first notice symptoms, your cancer might be diagnosed at an earlier stage, when treatment. If you're a current or former smoker. Early warning signs of lung cancer. Performing a chest radiograph is one of the first investigative steps if a person reports symptoms that may be suggestive of lung cancer. It is used to look for early signs of lung cancer. Learn more about lung cad systems. Lung cancer is the most common cause of cancer death worldwide, and there is accumulating higher level evidence that a mortality benefit exists with. Early signs of lung cancer and why screening is important. Computed tomography (ct scans) of the chest, on the other hand, are much more powerful cancer signs and symptoms can be vague, from unexplained pain to unintentional weight loss. Learn about lung cancer early warning signs, symptoms and treatments. However, trials and studies are assessing the effectiveness of lung. Lung cancer screening refers to cancer screening strategies used to identify early lung cancers before they cause symptoms, at a point where they are more likely to be curable.
Your doctor may order other tests to. It is used to look for early signs of lung cancer. More than 224,000 new cases of lung cancer are expected in the united states in 2016 with approximately 155. Ct scans to find lung cancer in smokers. Again, your treatment will depend largely on the type and stage of lung cancer as well as your own preferences.
VCU Medical Center Offers Lung Cancer Screening Program from www.news.vcu.edu Computed tomography (ct scans) of the chest, on the other hand, are much more powerful cancer signs and symptoms can be vague, from unexplained pain to unintentional weight loss. Ct screening for lung cancer has only been studied in people at high risk of lung cancer — those with a long smoking history and who are 55 and older. Fortunately, early detection of the cancer can drastically improve survival rates. Unless this is correlated with other findings, such as a. Read the american cancer society's lung cancer screening guidelines for individuals who are at high risk of lung cancer due to cigarette smoking. When lung cancer does cause signs in its early stages, they may vary from person to person but commonly include: This may reveal an obvious mass, the widening of. This systemic analysis was conducted to to evaluate the application value of positron emission tomography/computed tomography (pet/ct) in early diagnosis of lung cancer.
Clinical studies evaluating the application value of pet/ct for patients underwent pet/ct imaging.
A new cough that is. Clinical studies evaluating the application value of pet/ct for patients underwent pet/ct imaging. Preventive services task force (uspstf) that is why lung cancer screening is recommended only for adults who are at high risk for developing the disease because of their smoking history and age, and who do. If you're a current or former smoker. Early stage lung cancer often does not have symptoms. Lung cancer early detection | lung cancer screening. Most lung cancers don't cause symptoms until the disease has advanced, in part because the lungs have few nerve endings. Early warning signs of lung cancer. Most lung cancers do not cause any symptoms until they have spread, but some people with early lung cancer do have symptoms. Or you may notice some common signs computed tomography (ct) scans can detect smaller tumors. Learn more about lung cad systems. Evolution of a neural network prediction. Computed tomography (ct scans) of the chest, on the other hand, are much more powerful cancer signs and symptoms can be vague, from unexplained pain to unintentional weight loss.
Lung cancer early detection | lung cancer screening. Incidental lung lesion that represented chronic changes and scar without signs of active infection or malignancy ct characteristics and pathologic basis of solitary cystic lung cancer. The scan only takes a few minutes and is not painful. The cancer does not show up on imaging scans, but cancerous cells might lung cancer is a potentially fatal type of cancer, but people who receive an early diagnosis often have a. Patients with lung cancer are usually asymptomatic during the early stages of the disease.
Low-Dose CT Scans Show Promise in Detecting Early-Stage ... from www.highmarkhealth.org When you need them—and when you don't. However, trials and studies are assessing the effectiveness of lung. The scan only takes a few minutes and is not painful. Fortunately, early detection of the cancer can drastically improve survival rates. Computed tomography (ct scans) of the chest, on the other hand, are much more powerful cancer signs and symptoms can be vague, from unexplained pain to unintentional weight loss. Certain risk factors have been shown to play a part in causing cells spiral ct exam. Ct scans to find lung cancer in smokers. If you're a current or former smoker.
Fortunately, early detection of the cancer can drastically improve survival rates.
Unless this is correlated with other findings, such as a. Lung cancer screening refers to cancer screening strategies used to identify early lung cancers before they cause symptoms, at a point where they are more likely to be curable. Most lung cancers don't cause symptoms until the disease has advanced, in part because the lungs have few nerve endings. The cancer does not show up on imaging scans, but cancerous cells might lung cancer is a potentially fatal type of cancer, but people who receive an early diagnosis often have a. More than 224,000 new cases of lung cancer are expected in the united states in 2016 with approximately 155. This test takes pictures of the to find where the cancer started, your doctor will take into account your symptoms and medical history, physical examination, how the tumor looks on. Lung cancer is the world's deadliest cancer and it takes countless lives each year. Lung cancer can be life threatening, but successful treatment is possible with an early diagnosis. Evolution of a neural network prediction. Early signs of lung cancer and why screening is important. Most lung cancers do not cause any symptoms until they have spread, but some people with early lung cancer do have symptoms. Learn about lung cancer early warning signs, symptoms and treatments. Early warning signs of lung cancer.
Download and use 400+ blockchain stock photos for free. Mahesh babu's sarkaru vaari paata to release on april 1, 2022. 01.11.2021 · cryptocurrency & regulation of official digital currency bill 2021 to be tabled during winter session of parliament sc east bengal vs atk. Download and use 1,000+ cryptocurrency stock photos for free. 03.12.2021 · check hp elitebook 1040 g3 best price as on 3rd december 2021. Hd Ethereum Wallpapers Peakpx from w0.peakpx.com Entdecke rezepte, einrichtungsideen, stilinterpretationen und andere ideen zum ausprobieren. Vir das, nawazuddin siddiqui at international emmy awards 2021. Mahesh babu's sarkaru vaari paata to release on april 1, 2022. 03.12.2021 · check hp elitebook 1040 g3 best price as on 3rd december 2021. Priyanka chopra and nick jonas … Compare hp elitebook 1040 g3 prices before buying o...
How To Make Research Note Cards - Research Note Cards Worksheets Teachers Pay Teachers - Write the subtopic heading of the note at the top of each note card. . Notecards and works cited by ljohnson16 413 views. Is there a difference between print research skills and digital skills? Beginning the research paper—how to make note cards subtopics who want to do more research on. If a pile contains too few cards, you have three choices a. Make the dividers if you are using a box to keep the notecards in. Viewing note taking as the mere production of words and sentences fails to acknowledge where the actual work happens. The note card system organizes research notes on 3×5 inch or 5×7 inch index cards. Make the dividers if you are using a box to keep the notecards in. Making mla note cards with your sources on them is a good way organize your citation sources and prepare your mla works cited list. The result was steamboat willie (1928). walt disney began to make a new name...
How Do I Know If My Dog Has Liver Cancer / Liver Cancer In Dogs Innovet Pet : If your dog is not a surgical candidate, the life expectancy for dogs with liver cancer is about six months. . Diffuse and nodular liver cancers in dogs have a poor prognosis. If it is failing, vomiting is commonly seen. End stage liver disease in dogs is often one of the most painful and difficult things for an owner to witness. The problem is, in the early stage of canine liver cancer, clinical signs are vague and not distinctive and it's difficult, if not impossible, to tell if a dog has liver cancer. He may act uncharacteristically aggressive and the risk of biting a human could be high. If your dog has symptoms of liver dysfunction, cancer may be suspected as the cause, based on age and the elimination of other factors. Well, ideally all masses or lumps that are larger than a pea or that have been present for longer than a month should be checked out by your vet. Limping always mea...
Komentar
Posting Komentar