Can You Detect Lung Cancer With Ct Scan - Detection Of Early Stages Of Lung Cancer Based On Imaging A Download Scientific Diagram - Your doctor might use imaging tests to look for unusual growths inside your body that might be cancer.
Dapatkan link
Facebook
X
Pinterest
Email
Aplikasi Lainnya
Can You Detect Lung Cancer With Ct Scan - Detection Of Early Stages Of Lung Cancer Based On Imaging A Download Scientific Diagram - Your doctor might use imaging tests to look for unusual growths inside your body that might be cancer.. It can also show whether the cancer has spread outside the lung. It gives detailed information about your cancer. Ct scans of the chest are used to find lung nodules or other chest pathology. Therefore, ct scans can lead to a false negative this can negatively impact your ability to get any treatment at all If cancer is diagnosed, other tests will be performed to stage and grade the tumor so that the appropriate treatment can be delivered.
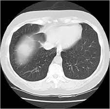
Once a nodule is found, a workup is done to see if it is cancer. This can include a chest computed tomography (ct) scan and, if a nodule or mass is found, a biopsy. A ct scan is one of several diagnostic tests that physicians order when they suspect lung cancer. The amount of radiation you're exposed to during an ldct is much less than that of a standard ct scan. If the test finds cancer, treatment can start early.
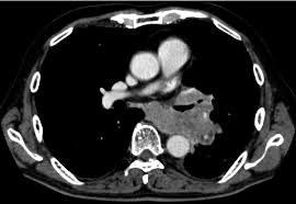
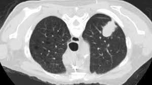
Google Shows How Ai Might Detect Lung Cancer Faster And More Reliably Mit Technology Review from wp.technologyreview.com Also, this imaging technique can show masses that might have developed as a result of lung cancer spread. But since this test can miss early cancers, additional testing is needed to confirm (or rule out) a lung cancer diagnosis. On the other hand, patients who've had surgeries related to their lungs or lung cancer are advised to take more scans than regular smokers. If the test finds cancer, treatment can start early. It can also show whether the cancer has spread outside the lung. While it might seem obvious to assume that finding small tumors reduces one's likelihood of dying from lung cancer , this is incorrect. Your doctor might use imaging tests to look for unusual growths inside your body that might be cancer. Doctors can use a ct scan to look for lung cancer.
This can include a chest computed tomography (ct) scan and, if a nodule or mass is found, a biopsy.
A ct scan test can also be used to look for the spread of lung cancer in the adrenal. Once a nodule is found, a workup is done to see if it is cancer. It is used to look for early signs of lung cancer. Ct scans of the chest are used to find lung nodules or other chest pathology. Awareness of the possible causes of overlooking a pulmonary lesion can give radiologists a chance to reduce the occurrence of this eventuality. This can provide definitive evidence of the disease. If you are a smoker, it is highly recommended to have a ct scan every 3 months. It gives detailed information about your cancer. It's equal to about half the radiation you're exposed to naturally from the environment in a year. Another doctor might be able to recommend other testing options. Your doctor might use imaging tests to look for unusual growths inside your body that might be cancer. Computed tomography (ct) scans detect tumors, but do not determine whether they are malignant or not. The doctor will then order additional testing to rule out or confirm a cancer diagnosis.
The amount of radiation you're exposed to during an ldct is much less than that of a standard ct scan. 234 views answered >2 years ago The doctor will then order additional testing to rule out or confirm a cancer diagnosis. Ct scans of the chest are used to find lung nodules or other chest pathology. While it might seem obvious to assume that finding small tumors reduces one's likelihood of dying from lung cancer , this is incorrect.
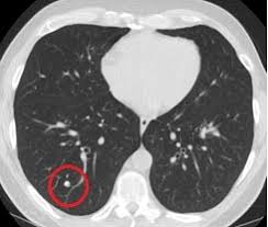
Ct Scans Detect Early Lung Cancer In Middle Aged Smokers With Hiv from images.ctfassets.net Another doctor might be able to recommend other testing options. While it might seem obvious to assume that finding small tumors reduces one's likelihood of dying from lung cancer , this is incorrect. But the test is not helpful for light smokers or people who quit smoking more than 15 years ago. It gives detailed information about your cancer. Also, this imaging technique can show masses that might have developed as a result of lung cancer spread. A computer then combines these images into a detailed picture of your lungs. 95% of nodules found are benign. The doctor will then order additional testing to rule out or confirm a cancer diagnosis.
Lung biopsy, involving the extraction of suspicious tissues by needle or other methods, is ordered if a ct scan suggests cancer.
But the test is not helpful for light smokers or people who quit smoking more than 15 years ago. Early detection of lung cancer means more treatment options an excellent tool for people at high risk for lung cancer the scan is quick, painless and noninvasive ct imaging is detailed and accurate and can reveal the smallest of abnormalities The scan looks at your lungs and other parts of your chest. Ct is highly accurate for lung cancer detection. Nevertheless, lung cancer can also be overlooked on computed tomography (ct) scans, regardless of the context, either if a clinical or radiologic suspect exists or for other reasons. A ct scan test can also be used to look for the spread of lung cancer in the adrenal. If you are at higher risk, talk to your doctor about getting screened. The smallest recesses of the chest can be clearly seen. It can also show the size, shape, and position of any lung tumors and can help find enlarged lymph nodes that might contain cancer that has spread. Therefore, ct scans can lead to a false negative this can negatively impact your ability to get any treatment at all Ct scans of the chest are used to find lung nodules or other chest pathology. Alternatively, you should take lung ct scans if you are concerned or if you show any symptoms. It can also look at your liver and adrenal glands.
Ldct scans can help find abnormal areas in the lungs that may be cancer. It can also look at your liver and adrenal glands. It can show the size, shape, position, and depth of any lung tumor. Nevertheless, lung cancer can also be overlooked on computed tomography (ct) scans, regardless of the context, either if a clinical or radiologic suspect exists or for other reasons. Ct is highly accurate for lung cancer detection.
New Program To Detect Early Lung Cancer In Current And Former Smokers Newsroom Weill Cornell Medicine from news.weill.cornell.edu Therefore, ct scans can lead to a false negative this can negatively impact your ability to get any treatment at all Computed tomography (ct) scans detect tumors, but do not determine whether they are malignant or not. A ct scan test can also be used to look for the spread of lung cancer in the adrenal. Ct is highly accurate for lung cancer detection. The scan looks at your lungs and other parts of your chest. It is used to look for early signs of lung cancer. A ct scan can detect potential cancer in a lung. It gives detailed information about your cancer.
But since this test can miss early cancers, additional testing is needed to confirm (or rule out) a lung cancer diagnosis.
The scan looks at your lungs and other parts of your chest. Lung cancer screening carries several risks, such as: It can also show whether the cancer has spread outside the lung. It is used to look for early signs of lung cancer. 234 views answered >2 years ago A computer then combines these images into a detailed picture of your lungs. A ct scan can detect potential cancer in a lung. Alternatively, you should take lung ct scans if you are concerned or if you show any symptoms. Are you preparing to have this procedure soon? If the test finds cancer, treatment can start early. If cancer is diagnosed, other tests will be performed to stage and grade the tumor so that the appropriate treatment can be delivered. If you're still concerned about radiation from a ct scan, you can always get a second opinion. Lung biopsy, involving the extraction of suspicious tissues by needle or other methods, is ordered if a ct scan suggests cancer.
Download and use 400+ blockchain stock photos for free. Mahesh babu's sarkaru vaari paata to release on april 1, 2022. 01.11.2021 · cryptocurrency & regulation of official digital currency bill 2021 to be tabled during winter session of parliament sc east bengal vs atk. Download and use 1,000+ cryptocurrency stock photos for free. 03.12.2021 · check hp elitebook 1040 g3 best price as on 3rd december 2021. Hd Ethereum Wallpapers Peakpx from w0.peakpx.com Entdecke rezepte, einrichtungsideen, stilinterpretationen und andere ideen zum ausprobieren. Vir das, nawazuddin siddiqui at international emmy awards 2021. Mahesh babu's sarkaru vaari paata to release on april 1, 2022. 03.12.2021 · check hp elitebook 1040 g3 best price as on 3rd december 2021. Priyanka chopra and nick jonas … Compare hp elitebook 1040 g3 prices before buying o...
How To Make Research Note Cards - Research Note Cards Worksheets Teachers Pay Teachers - Write the subtopic heading of the note at the top of each note card. . Notecards and works cited by ljohnson16 413 views. Is there a difference between print research skills and digital skills? Beginning the research paper—how to make note cards subtopics who want to do more research on. If a pile contains too few cards, you have three choices a. Make the dividers if you are using a box to keep the notecards in. Viewing note taking as the mere production of words and sentences fails to acknowledge where the actual work happens. The note card system organizes research notes on 3×5 inch or 5×7 inch index cards. Make the dividers if you are using a box to keep the notecards in. Making mla note cards with your sources on them is a good way organize your citation sources and prepare your mla works cited list. The result was steamboat willie (1928). walt disney began to make a new name...
How Do I Know If My Dog Has Liver Cancer / Liver Cancer In Dogs Innovet Pet : If your dog is not a surgical candidate, the life expectancy for dogs with liver cancer is about six months. . Diffuse and nodular liver cancers in dogs have a poor prognosis. If it is failing, vomiting is commonly seen. End stage liver disease in dogs is often one of the most painful and difficult things for an owner to witness. The problem is, in the early stage of canine liver cancer, clinical signs are vague and not distinctive and it's difficult, if not impossible, to tell if a dog has liver cancer. He may act uncharacteristically aggressive and the risk of biting a human could be high. If your dog has symptoms of liver dysfunction, cancer may be suspected as the cause, based on age and the elimination of other factors. Well, ideally all masses or lumps that are larger than a pea or that have been present for longer than a month should be checked out by your vet. Limping always mea...
Komentar
Posting Komentar